INVISALIGN®

O aparelho mais rápido e confortável do mundo

FALE CONOSCO

POR QUE
ESCOLHER O
TRATAMENTO
INVISALIGN®?

Alinha seus dentes até 4x mais rápido, é invisível , pode ser removido, e faz a prévia do resultado final em minutos.

AGENDE SUA CONSULTA

ESPECIALISTA
INVISALIGN

O dentista ortodontista que trabalha com Invislign, deve ser especializado em ortodontia, e também ter a titulação de Invisalign doctor, ou seja, ter o treinamento adequado para oferecer este tratamento.
A Dra. Amanda Peixoto é nossa ortodontista especialista em Invisalign, formada e pós-graduada na USP, solucionando de casos simples aos mais complexos.

ENTRE EM CONTATO

COMO FUNCIONA
O TRATAMENTO
INVISALIGN?

  • 1

    Documentação:
    Fotografias, Radiografias e Escaneamento Digital

  • 2

    Planejamento 3D:
    Enviamos seu caso para o Invisalign e planejamos com você como os seus dentes ficarão no final do tratamento

  • 3

    Confecção:
    Feito do material SmartTrack®, exclusivo do Invisalign, proporcionando máximo conforto e efetividade;

  • 4

    Entrega:
    Entrega dos alinhadores com as instruções de uso do Invisalign

  • 5

    Acompanhamento:
    Seguiremos com você na evolução do caso até o final

FALE CONOSCO

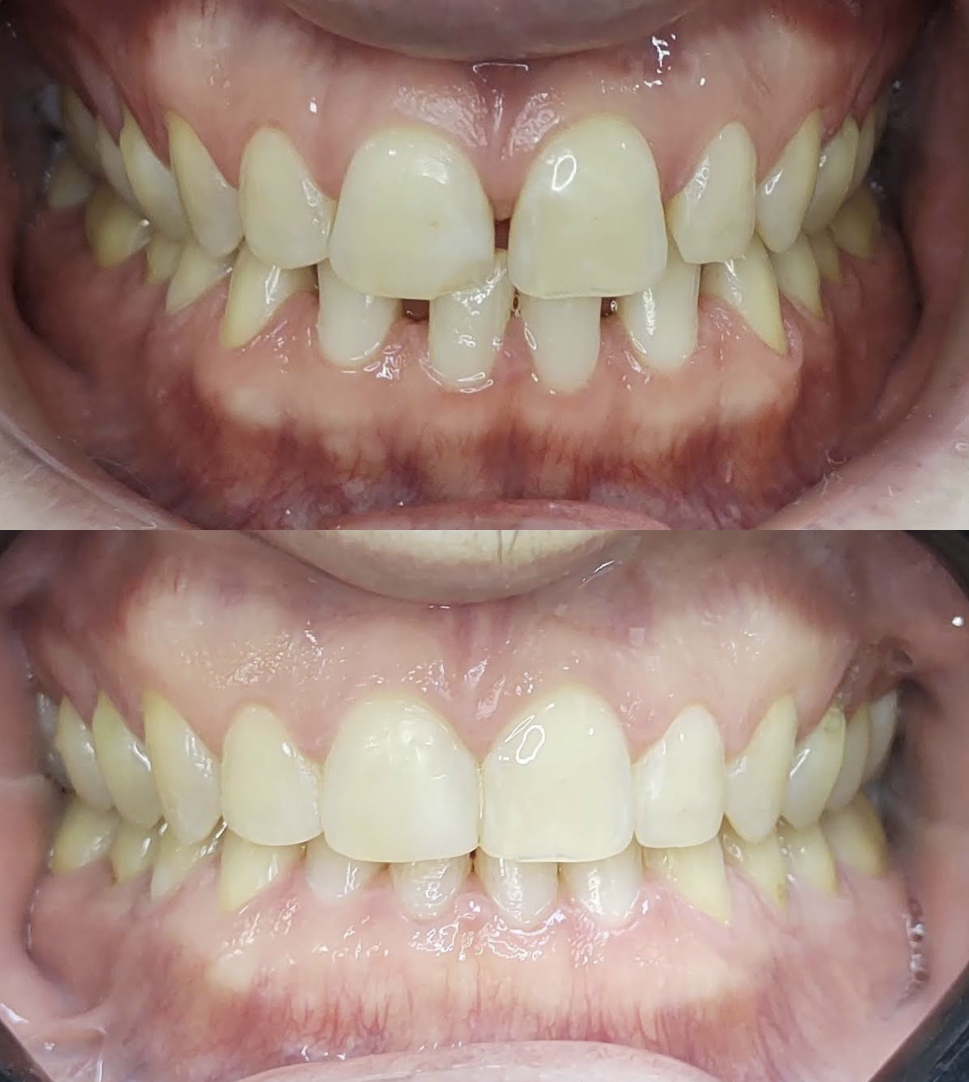
VEJA AS TRANSFORMAÇÕES
DOS NOSSOS PACIENTES:

AGENDE SUA CONSULTA

O Invisalign é o pioneiro mundial em alinhadores e ortodontia “invisível”. Com isso, hoje ele possui a melhor tecnologia para movimentação dentária, de uma forma segura e confortável. O Invisalign é muito mais eficaz, e em média os tratamentos duram de 8 a 14 meses apenas.

Sim, ele encaixa perfeitamente em seus dentes, de forma fácil e confortável. O alinhador Invisalign permite que você o remova ao se alimentar, por isso não gruda comida ou sujeira no aparelho, tornando a limpeza e manutenção mais simples.

Sim e muito. Na verdade, ele veio para substituir os na ortodontia os aparelhos convencionais antigos. Com novas tecnologias sendo adicionadas sempre ao tratamento com invisalign, o alinhador invisível resolve os casos dos mais simples aos mais complexos

O aparelho invisalign é até 4x mais rápido, transparente e praticamente invisível, permite a remoção pelo paciente, mais seguro pois movimenta constantemente e não de uma só vez como os convencionais, você visualiza o resultado antes de começar, e tem garantia de 5 anos da empresa, no caso do tratamento mais completo.

Não. O dentista deve ser especialista em ortodontia (ortodontista) e também ser certificado da Invisalign, (invisalign doctor certificate). Nossa clinica faz Invisalign desde 2017.

A mudança de nome veio do mercado americano, como uma estratégia de marketing, porém é o mesmo que aparelho dental, ou aparelho ortodôntico.

A idade mínima é a partir dos 6 anos de idade, com o Invisalign First. Nessa idade podemos ajustar a dentição, guiar o crescimento ósseo e melhorar estética facial e dental. A fase infantil e da adolescência é a fase mais adequada para o tratamento ortodôntico, uma vez que o corpo absorve melhor as mudanças

Sim. Conseguimos fazer o “clincheck”, que seria o planejamento virtual de alta fidelidade do caso, mostrando o passo a passo, o número de placas invisíveis e semanas até o final do tratamento, além de visualização do resultado final antes mesmo de começar.

Depende do caso e do número de placas. Na nossa clínica, a cobrança não é por mensalidade, e sim um preço único e fixo. Isso evita que o tratamento se arraste por muito tempo, e evita custos extras e surpresas, uma vez que o preço inicial é o mesmo até o final do tratamento.

EQUIPE SB

Mestres e especialistas com experiência internacional

SERGIO BARBOSA

RICARDO BARBOSA

SERGIO FILHO

VER TODOS
whats app

VEJA O QUE NOSSOS PACIENTES FALAM DE NÓS:

RUA TAVARES BASTOS, 540 - POMPÉIA - SP